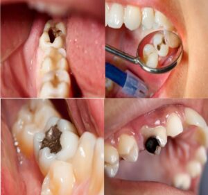
what does a cavity look like