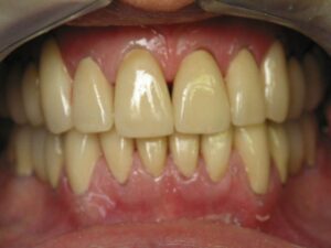
Why Are My Teeth Yellow When I Brush Them Everyday